• 1398/03/30 - 11:19
  • - تعداد بازدید: 1113
  • - تعداد بازدیدکننده: 19
  • زمان مطالعه : 1 دقیقه

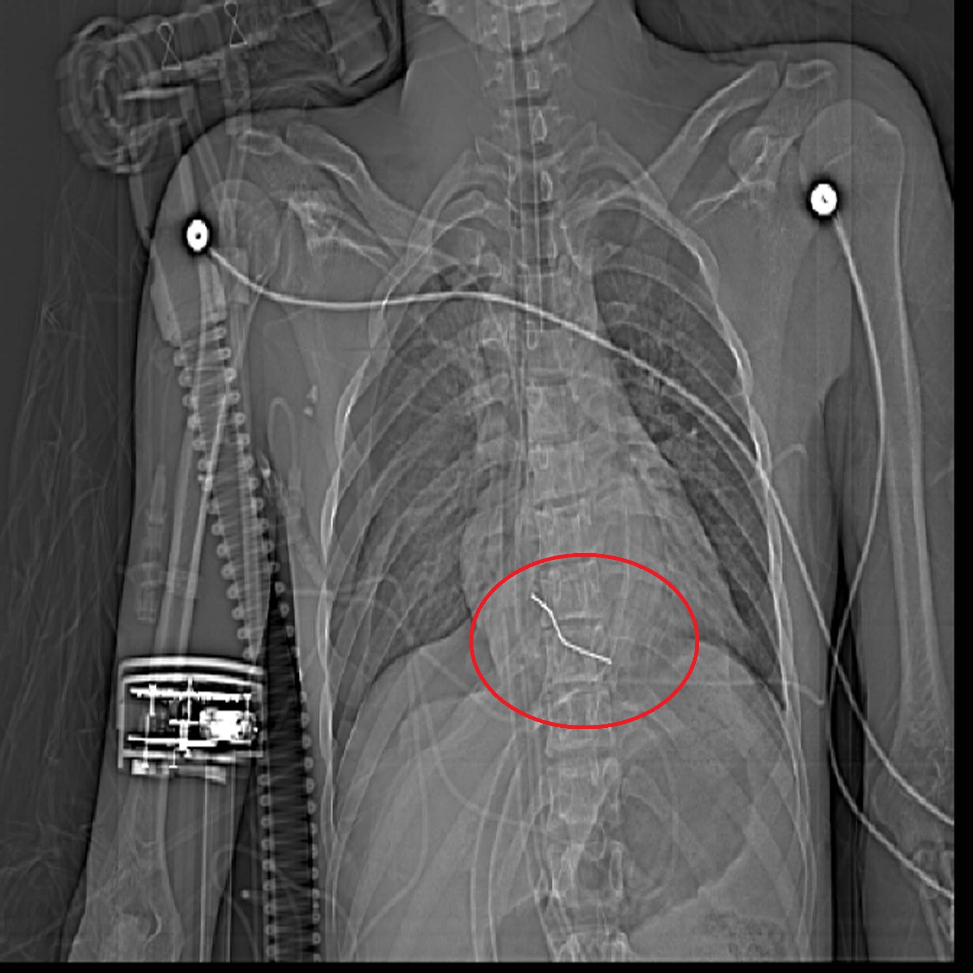
خارج کردن میخ 5 سانتیمتری از قلب پسرجوان سبزواری

روابط عمومی بیمارستان تخصصی و فوق تخصصی حشمتیه از نجات جان بیمار بعد از خارج کردن میخ 5 سانتیمتری از قلب بیمار خبر داد.

Slide1.JPG

 


به گزارش روابط عمومی بیمارستان حشمتیه دکتر راستی ریاست بیمارستان حشمتیه عنوان کرد: 23 خرداد ماه ، ساعت 22:00 جوان 21 ساله  به دلیل فرو رفتن میخ به ناحیه قفسه سینه و قلب وی از شهر داورزن  به بیمارستان حشمتیه  منتقل شد.


وی افزود:  بیمار در هنگام ورود به بیمارستان  دچار کاهش هوشیاری و افت شدید علایم حیاتی بوده است و در حالت احیای قلبی و ریوی سریعا به بخش اتاق عمل منتقل می گردد و تحت عمل جراحی قرار می گیرد. خوشبختانه تیم جراحی قلب این بیمارستان به سرپرستی دکترعبدالرحمن جراح قلب همچنین متخصص بیهوشی قلب دکتر یوسفی ، پزشک متخصص داخلی قلب  دکتر اسماعیلیان وتیم اتاق عمل قلب در یک عمل جراحی 1.5 ساعته اقدام به بازکردن قفسه سینه و خارج کردن میخ از قلب این بیمار می نمایند..


دکتر عبدالرحمن با بیان این نکته که با توجه به شرایط بیمار نیاز فوری به انجام عمل جراحی بوده است گفت میخ 5 سانتیمتری  از سمت چپ استخوان جناغ بیمار وارد و به بطن راست قلب آسیب وارد کرده بود.بعد از باز شدن قفسه سینه  ،بعلت عدم حرکت قلب  با انجام ماساژ باز قلب تا ضربان قلب برگردد. بعد ازترمیم ناحیه پارگی و خارج کردن میخ قفسه سینه بیمار بسته شد و بیمار به بخش مارقبت های ویژه قلب باز منتقل گردید..


دکتر راستی در ادامه گفت که بیمار با هوشیاری کامل  و وضعیت عمومی بسیار مطلوب بعد از پنج روز تحت مراقبت بودن 28 خرداد مرخص گردید.


وی در ادامه از زحمات تیم جراحی و تیم پرستاری بخش مراقبت های ویژه قلب باز تشکر کرد که با عملکرد مطلوب خود باعث بهبود حال بیمار شدند.



 

  • گروه خبری : بیمارستان حشمتیه,تصویری حشمتیه
  • کد خبر : 10375
  • لینک کوتاه : https://medsab.ac.ir/Z1u9
کلمات کلیدی

نظرات

0 نظر برای این مطلب وجود دارد

نظر دهید

آدرس دانشگاه

سبزوار، خیابان اسدآبادی، سازمان مرکزی دانشگاه علوم پزشکی

شماره تماس

051-44011000

کدپستی

9613873137

پست الکترونیک

info@medsab.ac.ir

سامانه پیامکی

500044011078

بازدید این صفحه: 17
بازدید امروز: 9585
کل بازدید: 1406531
بازدید کنندگان آنلاین: 25
آخرین بروزرسانی: 1404/08/28 12:47